- Case report
- Open Access
- Published:
Acromegaly presenting with myelopathy due to ossification of posterior longitudinal ligament: a case report
BMC Musculoskeletal Disorders volume 22, Article number: 353 (2021)
Abstract
Background
Acromegaly is a rare disease caused by high serum levels of growth hormone (GH) and insulin-like growth factor 1 (IGF-1), often originating from a pituitary adenoma. Spinal and peripheral joint abnormalities are caused by these hormonal hypersecretions. In particular, the response to GH is involved in the onset of ossification of the spinal ligament in vitro, especially ossification of the posterior longitudinal ligament (OPLL). However, because acromegaly and OPLL are rare diseases, we seldom encounter them in combination. To the best of our knowledge in the English-language literature, this is the first reported case of acromegaly presenting with thoracic myelopathy due to OPLL.
Case presentation
A 47-year-old woman presented with lower extremity weakness and paresthesia, gait disorder, and bladder disorder without any trauma. The patient’s most remarkable symptom was paraplegia, and we diagnosed myelopathy due to cervical and thoracic OPLL. Furthermore, we suspected acromegaly because of the characteristic facial features, and we found a pituitary adenoma by contrast-enhanced MRI. Cervical and thoracic decompression, posterior fixation, and pituitary adenoma resection were performed.
Conclusion
We report a case of acromegaly that was detected after the diagnosis of OPLL. The main challenge in acromegaly is delayed in diagnosis. Even in this case, the facial features characteristic of acromegaly had appeared at least 9 years ago. Early diagnosis and treatment of acromegaly improve prognosis and reduce exposure to GH and IGF-1 through early intervention and seem to suppress the progression of ligament ossification. Orthopedic surgeons and neurosurgeons need to keep in mind that acromegaly is associated with bone/joint lesions and ossification of the spinal ligament and should aim to diagnose acromegaly early.
Background
Acromegaly is a rare disease caused by high serum levels of growth hormone (GH) and insulin-like growth factor 1 (IGF-1) usually from a pituitary adenoma. Spinal and peripheral joint abnormalities are caused by these hormonal hypersecretions. Furthermore, the posterior longitudinal ligament (OPLL) was first reported by Key in 1838 [1] and described in detail by Tsukimoto from our university in 1960 [2]. Breidahl reported 3 autopsy cases of this disease in Japanese patients in 1969 [3], and in Japan, we actively conducted research about OPLL as a disease unique to Japan. However, recent reports demonstrate that there is a certain morbidity rate in patients of other races. The overall prevalence of OPLL is 1.9–4.3% in the Japanese population, 0.8–3.0% in other Southeast Asian populations and 0.1–1.7% in North American and European populations, suggesting a sporadic distribution [4, 5]. The mechanism of ethnic background underlying this interracial difference is still unknown.
The association between acromegaly and OPLL has been previously pointed out in vitro. Ikegawa et al. reported that GH receptors are increased in patients with OPLL. Goto et al. reported that IGF-1 has a stronger effect on inducing ossification differentiation on OPLL patient ligament cells than on those of non-OPLL patients. These results suggest that excessive exposure to GH and IGF-1 is associated with the progression of ligament ossification [6, 7]. However, the annual incidence of acromegaly is very low [8, 9], and we seldom encounter these diseases. To the best of our knowledge, a case of myelopathy due to OPLL inapatient with acromegaly has not been reported previously in the English-language literature. We present the first reported case of acromegaly with myelopathy due to OPLL with some consideration of the relationship between acromegaly and OPLL and the early detection of acromegaly.
Case presentation
History
A 47-year-old woman presented with lower extremity weakness and paresthesia, gait disorder, and bladder and rectal disorder. Four months after the onset of numbness and motor weakness of the lower extremities, she presented to our hospital without any trauma. One week before presentation, the gait disorder and bladder and rectal disorder became apparent. The patient’s history included hypertension. There was no family history of acromegaly or OPLL.
Physical examination
She weighed 72 kg, her height was 162.0 cm, and her BMI was 27.4 kg/m2. Blood pressure at admission was 160/90 mmHg. Her facial appearance was acromegaly-like, with a frontal protrusion, nose and lip enlargement, and mandibular protrusion (Fig. 1a). We also observed thickening of the soft tissue of the palm and fingers and thickening of the Achilles tendon. There was no history of headache, sweating, or fatigue, and we did not observe Raynaud’s phenomenon or carpal tunnel syndrome.
a-c: Facial appearance. a. At presenting our hospital. It showed acromegaly-like facial appearance, with a frontal protrusion, nose and lip enlargement, and mandibular protrusion. b. At 9 years ago from presenting our hospital. The features of acromegaly have already appeared. c. At 24 years ago from presenting our hospital. Almost normal facial appearance
In the upper extremities, no abnormal neurological findings were observed. However, weakness in both lower extremities (iliopsoas muscle MMT4, quadriceps femoris MMT4) was observed. Both lower extremity tendon reflexes were enhanced, and clonus was observed. Hypo-sensation (5/10) was observed below the umbilicus. These neurological findings suggested spinal cord lesions below the T10 level. She was barely able to walk on flat ground using two canes, and the Japanese Orthopedic Association score was 9 points (4–1–2-0-0-2).
Blood tests
The complete blood count was normal. An evaluation of glycemic status revealed a fasting plasma glucose level of 115 mg/dL. The glycosylated hemoglobin level was 5.9%, and the plasma glucose level during the OGTT (75 g glucose) at 2 h was 153 mg/dL. These results ruled out type 2 diabetes. Hepatic function tests and renal function tests revealed no abnormalities except for high alkaline phosphatase (ALP) (432 IU/L). Estimations of serum electrolytes, including sodium, potassium, calcium, and phosphorous were within normal limits. Hormonal evaluation showed raised serum IGF-1 (1914 ng/mL, reference range by age for IGF-I levels is 83 ~ 221 ng/mL) and GH (80.3 ng/mL) levels. GH was not suppressed with 75 g glucose loading, (after 60 min: 131 ng/mL; after 120 min: 46.9 ng/mL).
Imaging studies
X-ray images showed characteristic findings of acromegaly. Scalloping in some vertebrae was observed, as indicated by arrowheads on a lateral view of the lumbar X-ray in Fig. 2a [10]. On thoracic spine X-ray there were no findings of diffuse idiopathic skeletal hyperostosis (DISH) such as more than three successive bone bridges, and there were no anterior or posterior osteophytes with a biconcave appearance such as Erdheim spondylosis in the thoracic spine (Fig. 2b, c).
a-c: Preoperative lumber and thoracic X-ray images. Scalloping in some vertebrae was observed, as indicated by arrowheads on a lateral view of the lumbar X-ray. On thoracic spine X-ray there were no findings of DISH such as more than three successive bone bridges, and there were no anterior or posterior osteophytes with a biconcave appearance such as Erdheim spondylosis in the thoracic spine
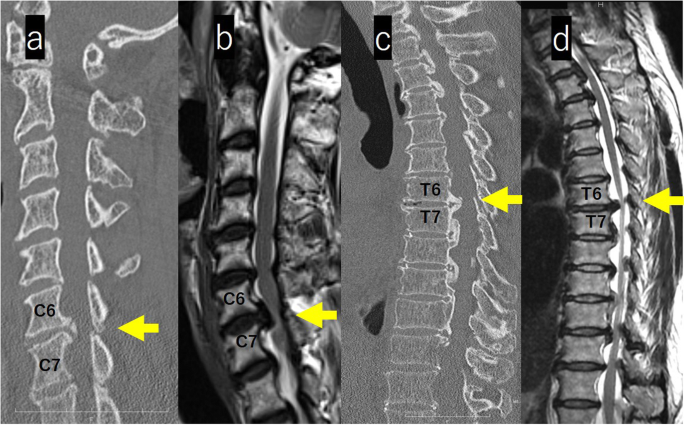
On computed tomography (CT) images of the whole spine, isolated OPLL was observed from the lower cervical vertebra to the middle thoracic vertebra. At T6/7, a beak-shaped protrusion into the spinal canal was observed (Figs. 3a, c).
a-d: MRI and CT images of the cervical and thoracic spine. CT images of the whole spine, isolated OPLL was observed from the lower cervical vertebra to the middle thoracic vertebra. At T6/7, a Beak-shaped protrusion into the spinal canal was observed (a, c). MRI revealed stenosis with a spinal cade intensity change at C6/7 and extensive spinal cord compression with a spinal cade intensity change in the thoracic spine (b, d)
Magnetic resonance imaging (MRI) of the whole spine revealed stenosis with an intensity change in spinal cord at C6/7 and extensive spinal cord compression in the thoracic spine (Figs. 3b, d). Contrast-enhanced MRI of the brain showed a mass without contrast enhancement on the right side of the anterior pituitary gland (size, 10 mm × 12 mm × 10 mm) with suprasellar and parasailer extension; the image revealed a pituitary macroadenoma (Fig. 4).
Posthospitalization course
The patient’s most remarkable symptom was paraplegia, and we diagnosed myelopathy due to thoracic OPLL. Furthermore, we suspected acromegaly because of the characteristic facial features and blood test findings (ALP 432 IU/L, GH 80.3 ng/ml, IGF-1914 ng/ml). Contrast-enhanced MRI of the brain performed by the endocrinology department showed a pituitary adenoma (Fig. 4). The patient’s symptoms satisfied the diagnostic criteria for acromegaly. Neurosurgery was scheduled for the pituitary adenoma, but spinal surgery was prioritized due to fear of exacerbation of neurological symptoms.
The neurological findings suggested spinal cord lesions below the T10 level, and T6/7 was judged to be the location of the primary lesion. T1–3 and T6–11 laminectomy and T1–11 posterior fixation were performed. Additionally, there was severe spinal cord compression in C6/7, and open-door laminoplasty with a lamina plate was performed for C5–7 (Fig. 5).
Postoperative course
On the third day after the operation, rehabilitation was started with a cervical collar and hard thoracolumbar corset. The postoperative course was good, the paralysis gradually improved, and the patient was able to walk alone indoors. She was discharged 3 weeks after the operation. There have been no adverse or unanticipated events. Two months after the spinal surgery, resection of the pituitary adenoma was performed in the neurosurgery department, and the patient is still under observation. A pathological image (H&E, × 400) is provided and showed a sheet of monotonous cells with round nuclei and loss of normal lobular patterns of the pituitary adenoma (Fig. 6). Staining for TSH and ACTH was negative. Staining for PRL was positive in 10% of the resected pituitary tissue. Staining for CAM5.2 was diffusely positive in many cells and several cells had fibrous bodies. These findings are consistent with growth hormone-secreting pituitary adenomas. We did not have other antibodies, so it was difficult to classify the pituitary adenoma in detail.
Pathological image of a pituitary adenoma (H&E, × 400). A sheet of monotonous cells with round nuclei and loss of normal lobular patterns of the pituitary adenoma. Using a microscope (BX51, Olympus, Tokyo, Japan) and an objective lens of × 20, the figure was taken under the settings of 1280 × 960 pixel (Camera, DS-F1, Nikon, Tokyo, Japan; Detector, Digital Sight DS-L2, Nikon, Tokyo, Japan)
Discussion and conclusions
Spinal and peripheral joint abnormalities are caused by GH hypersecretion in patients with acromegaly due to the secretion of IGF-1 from the liver by the actions of GH, which activates osteoblasts and fibroblasts [11]. Furthermore, it has been pointed out that the response to GH may be involved in the onset of ossification of the spinal ligament [12]. For instance, it has been reported that 20% of patients with acromegaly have diffuse idiopathic skeletal hyperostosis [13]. The prevalence of DISH in patients with cervical OPLL is 48.7% [14], and it is suggested that acromegaly and OPLL are strongly related. Furthermore, it has also been reported that serum growth hormone-binding protein (GHBP) levels were significantly higher in an OPLL group than in age-matched controls, whereas there was no significant difference between the two groups in serum levels of GH, IGF-1, or insulin-like growth factor 2 (IGF-2). These results, taken together with the hypothesis that serum levels of GHBP reflects the number of GH receptors in tissue, suggest that GH receptors are increased in patients with OPLL [6]. Moreover, in cultured ligament cells of OPLL patients and non-OPLL patients, IGF-I has the effect of inducing more ossification differentiation on OPLL patient ligament cells, and IGF-I is considered to be involved as a local factor of ossification in OPLL patients [7]. All these reports suggest a relationship between acromegaly and OPLL.
However, the annual incidence rates of acromegaly range between 2 and 11 per 1 million [8, 9], so we rarely encountered this disease. To the best of our knowledge, only three cases of OPLL and four cases of ossification of the ligament of the flavum (OLF) have been reported in a Japanese article and a paper published in PubMed, and there is only one case report of OLF [15]. All reported cases were of untreated or poorly controlled disease despite treatment and reported a long duration until a diagnosis was obtained. Even in our case, the facial features characteristic of acromegaly had appeared at least 9 years ago, as seen in past photographs of the patient (Figs.1a-c). This suggested exposure to excessive GH and IGF-1 for an extended period. It is possible that early diagnosis and treatment of acromegaly may suppress the progression of the ossification of ligaments, which is a subject for future study.
In addition, acromegaly may cause serious complications such as cardiovascular disorders, cerebrovascular disorders, malignant tumors, and sleep apnea, resulting in a poor prognosis [16,17,18,19]. The standardized mortality ratio of these patients is 1.2 to 3.6 compared to that of normal subjects [19,20,21]. However, the prognosis is significantly improved by early diagnosis and appropriate treatment [19, 22, 23]. Early detection is critical not only for the suppression of ossification but also from the perspective of improving prognosis. Symptoms that trigger the diagnosis are often facial changes and hypertrophy of the extremities [24]. Therefore, orthopedic surgeons and neurosurgeons need to keep in mind the characteristics of acromegaly.
We reported a case of acromegaly that was detected after the diagnosis of OPLL. Early diagnosis and treatment of acromegaly improve life prognosis and reduce exposure to GH and IGF-1 through early intervention and seem to suppress the progression of ligament ossification and avoid severe myelopathy. Orthopedic surgeons and neurosurgeons need to keep in mind that acromegaly is associated with bone/joint lesions and the ossification of the spinal ligament and should aim to diagnose acromegaly early.
Availability of data and materials
The datasets are available from the corresponding author on reasonable request.
Abbreviations
- GH:
-
Growth hormone
- IGF-1:
-
Insulin-like growth factor 1
- OPLL:
-
Ossification of the posterior longitudinal ligament
- OGTT:
-
Oral glucose tolerance test
- ALP:
-
Alkaline Phosphatase
- DISH:
-
Diffuse Idiopathic Skeletal Hyperostosis
- CT:
-
Computed tomography
- MRI:
-
Magnetic resonance imaging
- GHBP:
-
Growth hormone-binding protein
- IGF-2:
-
Insulin-like growth factor 2
- OLF:
-
Ossification of the ligament of the flavum
References
- 1.
Key C. On paraplegia depending on disease of the ligaments of the spine. Guys Hosp Rep. 1838;3:17–34.
- 2.
Tsukimoto H. A case report: autopsy of syndrome of compression of spinal cord owing to ossification within spinal canal of cervical spines. Nippon Geka Hokan. 1960;29:1003–7.
- 3.
Breidahl P. Ossification of the posterior longitudinal ligament in the cervical spine. “the Japanese disease” occurring in patients of British descent. Australas Radiol. 1969;13(3):311–3.
- 4.
Yoshimura N, Nagata K, Muraki S, Oka H, Yoshida M, Enyo Y, et al. Prevalence and progression of radiographic ossification of the posterior longitudinal ligament and associated factors in the Japanese population: a 3-year follow-up of the ROAD study. Osteoporos Int. 2014;25(3):1089–98.
- 5.
Yan L, Gao R, Liu Y, He B, Lv S, Hao D. The pathogenesis of ossification of the posterior longitudinal ligament. Aging Dis. 2017;8(5):570–82.
- 6.
Ikegawa S, Kurokawa T, Hizuka N, Hoshino Y, Ohnishi I, Shizume K. Increase of serum growth hormone-binding protein in patients with ossification of the posterior longitudinal ligament of the spine. Spine. 1993;18(13):1757–60.
- 7.
Goto K, Yamazaki M, Tagawa M, Goto S, Kon T, Moriya H, et al. Involvement of insulin-like growth factor I in development of ossification of the posterior longitudinal ligament of the spine. Calcif Tissue Int. 1998;62(2):158–65.
- 8.
Lavrentaki A, Paluzzi A, Wass JA, Karavitaki N. Epidemiology of acromegaly: review of population studies. Pituitary. 2017;20(1):4–9.
- 9.
Hoskuldsdottir GT, Fjalldal SB, Sigurjonsdottir HA. The incidence and prevalence of acromegaly, a nationwide study from 1955 through 2013. Pituitary. 2015;18(6):803–7.
- 10.
Stuber JL, Palacios E. Vertebral scalloping in acromegaly. Am J Roentgenol Radium Therapy, Nucl Med. 1971;112(2):397–400.
- 11.
Bluestone R, Bywaters EG, Hartog M, Holt PJ, Hyde S. Acromegalic arthropathy. Ann Rheum Dis. 1971;30(3):243–58.
- 12.
Li H, Jiang LS, Dai LY. Hormones and growth factors in the pathogenesis of spinal ligament ossification. Eur Spine J. 2007;16(8):1075–84.
- 13.
Scarpa R, De Brasi D, Pivonello R, Marzullo P, Manguso F, Sodano A, et al. Acromegalic axial arthropathy: a clinical case-control study. J Clin Endocrinol Metab. 2004;89(2):598–603.
- 14.
Nishimura S, Nagoshi N, Iwanami A, Takeuchi A, Hirai T, Yoshii T, et al. Prevalence and distribution of diffuse idiopathic skeletal hyperostosis on whole-spine computed tomography in patients with cervical ossification of the posterior longitudinal ligament: a multicenter study. Clin Spine Surg. 2018;31(9):E460–5.
- 15.
Schmidt RF, Goldstein IM, Liu JK. Ossified ligamentum flavum causing spinal cord compression in a patient with acromegaly. J Clin Neurosci. 2013;20(11):1599–603.
- 16.
Berg C, Petersenn S, Lahner H, Herrmann BL, Buchfelder M, Droste M, et al. Cardiovascular risk factors in patients with uncontrolled and long-term acromegaly: comparison with matched data from the general population and the effect of disease control. J Clin Endocrinol Metab. 2010;95(8):3648–56.
- 17.
Fatti LM, Scacchi M, Pincelli AI, Lavezzi E, Cavagnini F. Prevalence and pathogenesis of sleep apnea and lung disease in acromegaly. Pituitary. 2001;4(4):259–62.
- 18.
Dal J, Leisner MZ, Hermansen K, Farkas DK, Bengtsen M, Kistorp C, et al. Cancer incidence in patients with acromegaly: a cohort study and meta-analysis of the literature. J Clin Endocrinol Metab. 2018;103(6):2182–8.
- 19.
Holdaway IM, Rajasoorya RC, Gamble GD. Factors influencing mortality in acromegaly. J Clin Endocrinol Metab. 2004;89(2):667–74.
- 20.
Holdaway IM. Excess mortality in acromegaly. Horm Res. 2007;68(Suppl 5):166–72.
- 21.
Arosio M, Reimondo G, Malchiodi E, Berchialla P, Borraccino A, De Marinis L, et al. Predictors of morbidity and mortality in acromegaly: an Italian survey. Eur J Endocrinol. 2012;167(2):189–98.
- 22.
Rajasoorya C, Holdaway IM, Wrightson P, Scott DJ, Ibbertson HK. Determinants of clinical outcome and survival in acromegaly. Clin Endocrinol. 1994;41(1):95–102.
- 23.
Kasuki L, Rocha PDS, Lamback EB, Gadelha MR. Determinants of morbidities and mortality in acromegaly. Arch Endocrinol Metab. 2019;63(6):630–7.
- 24.
Nachtigall L, Delgado A, Swearingen B, Lee H, Zerikly R, Klibanski A. Changing patterns in diagnosis and therapy of acromegaly over two decades. J Clin Endocrinol Metab. 2008;93(6):2035–41.
Acknowledgements
Not applicable.
Funding
Not applicable.
Author information
Affiliations
Contributions
DK completed the manuscript as a major contributor including performing the literature review. KF, KH, KN, and ST conceptualized the report. KF revised the manuscript and gave final approval to the manuscript as a corresponding author. HT, ST, and DK were the principal clinicians who performed spinal surgery. NT and TM carried out the histopathological examinations and revised histopathological description. HT and AW provided guidance for the literature search, the writing of the paper and proofread the paper. All authors critically revised the report, commented on drafts of the manuscript, and approved the final report.
Corresponding author
Ethics declarations
Ethics approval and consent to participate
Our institution does not require ethical approval for case reports.
Consent for publication
Written informed consent was obtained from the patient for publication of this case report and any accompanying images. A copy of the written consent is available for review by the Editor of this journal.
Competing interests
The authors declare that they have no competing interests.
Additional information
Publisher’s Note
Springer Nature remains neutral with regard to jurisdictional claims in published maps and institutional affiliations.
Rights and permissions
Open Access This article is licensed under a Creative Commons Attribution 4.0 International License, which permits use, sharing, adaptation, distribution and reproduction in any medium or format, as long as you give appropriate credit to the original author(s) and the source, provide a link to the Creative Commons licence, and indicate if changes were made. The images or other third party material in this article are included in the article's Creative Commons licence, unless indicated otherwise in a credit line to the material. If material is not included in the article's Creative Commons licence and your intended use is not permitted by statutory regulation or exceeds the permitted use, you will need to obtain permission directly from the copyright holder. To view a copy of this licence, visit http://creativecommons.org/licenses/by/4.0/. The Creative Commons Public Domain Dedication waiver (http://creativecommons.org/publicdomain/zero/1.0/) applies to the data made available in this article, unless otherwise stated in a credit line to the data.
About this article
Cite this article
Kamakura, D., Fukutake, K., Nakamura, K. et al. Acromegaly presenting with myelopathy due to ossification of posterior longitudinal ligament: a case report. BMC Musculoskelet Disord 22, 353 (2021). https://doi.org/10.1186/s12891-021-04232-6
Received:
Accepted:
Published:
Keywords
- Acromegaly
- Ossification of posterior longitudinal ligament
- Case report





